Bei der Operation wird zunächst der betroffene Hüftkopf am Ende des Oberschenkels entfernt. Anschließend werden sowohl die Hüftpfanne als auch der Oberschenkelknochen für die Aufnahme des Kunstgelenks präpariert.
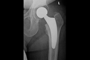
Hüft-OP zur Implantation einer Endoprothese
Die einzelnen Komponenten der Hüftendoprothese werden mit dem körpereigenen Knochen der Hüfte verbunden. Grundsätzlich gibt es drei verschiedene Möglichkeiten zur Verankerung:
- Zementierte Hüftprothese
- Zementfreie Hüftprothese
- Hybride Hüftprothese
Welche Verankerungsart genutzt wird hängt neben der Art der Endoprothese auch von Alter, Knochenqualität, körperlicher Aktivität und vom Gesundheitszustand der Patientinnen und Patienten ab.
Nach Einbringen der Komponenten wird der passende Aufsteckkopf gewählt und die Beweglichkeit und der feste Sitz des neuen Gelenkes überprüft. Dann erfolgt der Weichteilverschluss.
Der Hüftzugang wird heutzutage sehr weichteilschonend (minimalinvasiv) vorgenommen, wovon Patientinnen und Patienten sehr profitieren.
Was sind die Kontraindikatoren?
Als Kontraindikation gilt eine fortgeschrittene Demenz oder andere Zustände, die die Kognition soweit einschränken, dass keine aktive Mitarbeit während der postoperativen Heilphase und Rehabilitation möglich ist.
Auch akute bakterielle Entzündungen oder starke neurologische Erkrankungen, die zur fehlenden muskulären Steuerung des Kunstgelenkes führen können, sprechen gegen ein künstliches Gelenk.
Was muss der Operateur beachten?
Als Operateur gilt es zunächst zu prüfen, ob Sie als Patient*in ein künstliches Hüftgelenk brauchen oder ob konservative und gelenkerhaltende Therapiealternativen noch erfolgversprechend sind.
Eine große Bedeutung hat die Wahl des Implantates, der Verankerung und des operativen Zuganges.
Die Operation erfolgt gut geplant, nach Durchführung der Routinevorbereitungen und folgt einem standardisierten Ablauf, bei dem alle Beteiligten die einzelnen Schritte kennen.
Wie lange dauert die OP?
Das Einsetzen eines künstlichen Hüftgelenkes dauert je nach Art der Verankerung etwa 30-60 Minuten.

Wer sind Experten für eine Hüftendoprothesen Operation?
Die Implantation einer künstlichen Hüfte ist trotz aller Standardisierung eine vielschichtige Operation und sollte von erfahrenen Orthopäden, mit einer Spezialisierung auf Endoprothetik, durchgeführt werden.
Das Hessing Zentrum für Endoprothetik, Fußchirurgie und Rheumaorthopädie ist hochspezialisiert und durch EndoCert entsprechend zertifiziert. Wir sind 2013 das erste Zentrum in Augsburg gewesen, das die erforderlichen Qualitätsstandards und Erfahrungswerte vorweisen konnte. Seit dem sind wird zertifiziert. Von dieser Erfahrung profitieren Patientinnen und Patienten jeden Tag aufs Neue.





