Unter Skoliose versteht man eine dreidimensionale Verkrümmung der Wirbelsäule.
Themenseite rund um Skoliose

Was ist eine Skoliose?
Bei einer Skoliose handelt es sich um eine dreidimensionale Verkrümmung der Wirbelsäule. Mit dieser Verkrümmung geht eine Seitverbiegung von mindestens 10 Grad einher. Gleichzeitig kommt es zu einer Verformung und -drehung (Torsion) der Wirbelkörper. Im Gegensatz zu einer reinen Haltungsschwäche kann die Krümmung nicht alleine, d.h. mit eigener Kraft aufgerichtet werden.
Weil die Wirbelsäule nicht gerade, sondern in sich verdreht, wächst, kommt es je nach Lage der Verkrümmung und Ausprägung zu einem Rippenbuckel und/oder Lendenwulst.
Wie erkläre ich es meinem Kind?
Bei einer Skoliose wächst die Wirbelsäule krumm und in sich verdreht. Beim Großteil der Skoliosen weiß man nicht, warum sie entstehen. Sicher ist nur, dass es mit dem Wachstum zusammenhängt und nichts mit falscher Ernährung oder Fehlbelastung zu tun hat.
Wegen des verdrehten Wachstums der Wirbelsäule verschieben sich die Wirbelkörper so, dass die Schultern unterschiedlich hoch sein können und man nur eine Taille hat. Es kann passieren, dass ein Buckel entsteht. Die Ursachen sind unklar, aber weder die Patientin/der Patient, noch die Eltern können etwas dafür und es trägt niemand die Schuld daran.
Ursachen und Entstehung
Warum eine Wirbelsäule, die jahrelang gerade war, plötzlich verdreht wächst, ist weiterhin Gegenstand diverser Studien und nicht abschließend geklärt. Es scheint aber erbliche Faktoren zu geben.
In 80% der Fälle weiß man nicht, woher die Skoliose kommt. Diese Form nennt man idiopathische Skoliose. Die Ursachen dieser Skoliose-Art sind nicht falsche Ernährung oder das Tragen schwerer Schultaschen. Auch Sport oder Arbeit macht sie nicht schlimmer.
Meistens tritt sie bei Mädchen auf (4 bis 5 Mal häufiger als bei Jungen), die sehr früh in die Pubertät kommen und einen Wachstumsschub haben. Ist das Wachstum abgeschlossen und die Skoliose bis dahin nicht zu schlimm geworden, verschlechtert sie sich anschließend auch nicht mehr oder nur langsam. Es scheint ebenso eine genetische Veranlagung zu geben. Auf jeden Fall hängt das Auftreten einer Skoliose mit dem Wachstum zusammen.
Bei den restlichen 20% der Fälle findet sich eine Ursache. Dazu gehören zum Beispiel Veränderungen der Knochen sowie eine Muskel- oder Nervenerkrankung. Diese Skoliose-Arten treten jedoch schon im frühen Kindesalter und nicht erst in der Pubertät auf. Im Rahmen der ärztlichen Diagnose wird festgestellt, um welche Form es sich handelt.
Man unterscheidet zwischen drei Arten
Je nachdem, wo die Krümmung liegt und wie groß sie ist, kann sie „nur“ ein optisches Problem sein. Allerdings kann sie die Bandscheiben und Wirbelgelenke der übrigen Wirbelsäule erheblich belasten. In schweren Fällen kann sie sogar Auswirkungen auf Lunge und Herz haben.
Idiopathische Skoliose
Bei der idiopathischen Skoliose handelt es sich um eine Wachstumsstörung der Wirbelsäule, die meistens während des Wachstumsschubes in der Pubertät erstmalig auftritt.
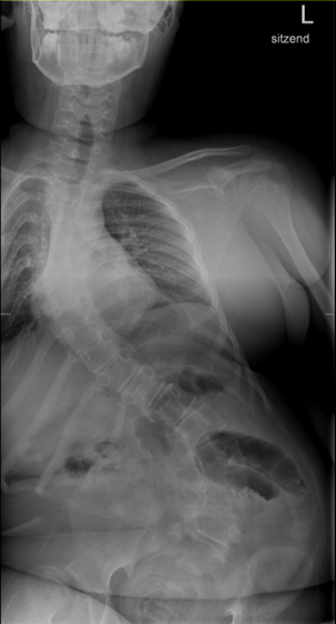
Rechtskonvexe Thorakalskoliose bei einem 15 jährigen Mädchen:

Kongenitale Skoliose
Die kongenitale Skoliose ist die Folge von angeborenen Knochenfehlbildungen, wie z.B. Halswirbeln, Knochenspangen zwischen den Wirbeln oder anderem. Sie fällt meist schon im Kleinkindesalter auf.
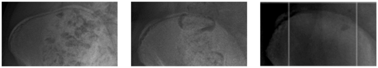
Überzähliger Halbwirbel bei einem 4 jährigem Jungen:

Neuromuskuläre Skoliose
Eine neuromuskuläre Skoliose entsteht in Folge einer Erkrankung der Muskeln oder des Nervensystems, wie z.B. Querschnittlähmung, Spastik oder krankhafter Muskelschwäche.
Linkskonvexe langbogige lumbale Krümmung mit Beckenschiefstand und Rumpfüberhang nach rechts bei 11 jährigem Rollstuhlfahrer:

Symptome einer Skoliose
An diesen Merkmalen erkennen Sie, ob Ihr Kind eine Skoliose haben könnte.

Was sind die Symptome einer Skoliose?
Bei einer idiopathischen Skoliose von Kindern und Jugendlichen wird die Erkrankung häufig durch den entstehenden Rippenbuckel bzw. Lendenwulst oder durch Schulter-, Brust- oder Beckenasymmetrien entdeckt. Schmerzen sind nicht typisch, können aber im Verlauf manchmal entstehen und können entweder durch Muskelverspannungen oder an Knochenvorsprüngen vorkommen. Hier hilft meistens eine gezielte Krankengymnastik weiter.
Bei Erwachsenen können die Beschwerden variieren. Sie treten meist gar nicht im Bereich der Hauptkrümmung, sondern vor allem in der darunterliegenden Lendenwirbelsäule auf. Da hier oft die Gelenke und Bandscheiben schräg belastet werden, kann es zu vorzeitigem Verschleiß und Arthrose kommen, die dann wiederum Schmerzen verursachen. Das ist auch einer der Gründe, wieso man die Wirbelsäule begradigt. So schützt man die noch gesunden Anteile.
Typische Merkmale, die auftreten können
- Unterschiedliche Höhe der Schultern
- Deutliches Hervorstehen eines Schulterblatts oder der Rippen vorne
- Ungleich geformte Taille
- Beim Bücken werden ungleich hohe Rippen (Rippenbuckel) oder der Lendenwulst deutlich erkennbar
Je nachdem wo die Krümmung liegt und wie groß sie ist, kann sie „nur“ ein optisches Problem sein, oder aber die Bandscheiben und Wirbelgelenke der übrigen Wirbelsäule belasten. In schweren Fällen kann sie sogar Auswirkungen auf Lunge und Herz haben.
Diagnose
Es gibt verschiedene Möglichkeiten eine Skoliose zu erkennen. In der Regel sind es die betroffenen Kinder und Jugendliche selbst, denen auffällt, dass sie sich in der Körperhaltung von gleichaltrigen unterscheiden. Auch die Eltern erkennen die Veränderung.
Häufig fällt es im Sommerurlaub beim Rückeneincremen auf. Da es kein Skoliose-Screening an Schulen gibt, ist es wichtig beim Aufkommen eines Verdachts den Kinder- oder Hausarzt aufzusuchen. Ausgangspunkt für eine belastbare Diagnose ist immer die Untersuchung beim Arzt.
Die Krümmung der Wirbelsäule kann am besten erkannt werden, wenn sich die Patientinnen und Patienten vorbeugen. Bei diesem Vorbeugetest (Adams Bending Test) kann man den Rippenbuckel und Lendenwulst mit einer speziellen Wasserwaage, auch Skoliometer genannt, ausmessen. Wenn bei dieser Messung ein Grenzwert von ca 6° überschritten wird oder wenn der Buckel in kurzer Zeit deutlich zunimmt, sollte man ein Röntgenbild anfertigen.

Mit Hilfe einer Wirbelsäulenganzaufnahme, einem Röntgenbild der kompletten Wirbelsäule, können der Krümmungswinkel sowie die Verdrehung der Wirbelkörper gemessen werden. Es sollte immer die gesamte Wirbelsäule auf einer Aufnahme abgebildet und nicht mehrere kleine Bilder angefertigt werden, da man die Krümmung sonst nicht exakt vermessen und die Statik beurteilen kann.
Für diese Wirbelsäulenganzaufnahmen braucht man spezielle, sehr teure Röntgenröhren, die natürlich nicht jeder Arzt hat. Deswegen kann es sein, dass du in ein spezialisiertes Wirbelsäulenzentrum überwiesen wirst. Die Winkel werden in „Gradzahlen nach Cobb“ angegeben, da Dr. Cobb diese Messmethode entwickelt hat. Vor einer Operation werden noch sogenannte Bending-Aufnahmen angefertigt. Du musst dich einmal so weit es geht nach links und dann nach rechts biegen. Danach kann man ausmessen, welche Krümmung schon steif (rigide) ist und welche noch so flexibel ist, dass sie sich noch selbständig ausgleichen kann. Das ist vor allem für die OP-Planung wichtig.
Neben dem Ausmaß der Krümmung ist auch dein Knochenalter wichtig. Um abschätzen zu können, wie lange du noch wächst wird oft der Beckenkamm mitgeröngt. Anhand der dortigen Wachstumsfuge kann man sehen, wie lange dein Wachstumsschub noch anhält. Der Arzt spricht hier vom Risser-Zeichen, da ein Dr. Risser diese Einteilung eingeführt hat. Weitere Anhaltspunkte für die Bestimmung des Wachstums sind der Einsatz von Stimmbruch bei Jungen und der Regelblutung bei Mädchen. Da sich die Skoliose vor allem während des Wachstums verschlechtern kann ist es wichtig abschätzen zu können, wie lange man noch wächst. Regelmäßige Kontrolluntersuchungen sind in der Wachstumsphase wichtig, um die Entwicklung zu beobachten und entsprechend gegensteuern zu können.
Knochenalterbestimmung anhand des Risser-Zeichen

In manchen Fällen wird zusätzlich ein MRT (Magnetresonanztomographie) angefertigt, um eventuelle Fehlbildungen der Wirbelkörper oder des Rückenmarks feststellen zu können. Dies wird vor allem bei ungewöhnlichen Krümmungsformen oder vor Operationen durchgeführt, da Fehlbildungen des Rückenmarks Probleme verursachen können. Bei einer normalen Skoliose ist meist kein MRT notwendig.
Bei einer kongenitalen Skoliose wird oft noch eine Computertomographie mit 3D Rekonstruktion durchgeführt, damit man genau sehen kann, welche Knochen fehlgebildet oder verwachsen sind. Hiervon hängen die Progressionswahrscheinlichkeit und die OP-Methode ab.

Klassifikationen
Neben den verschiedenen Skoliose-Arten wird zusätzlich eine Klassifikation nach Alter vorgenommen:
Weitere Klassifikationen gibt es im Hinblick auf die Höhe der Hauptkrümmung:
Sowie der Richtung der Hauptkrümmung:
Typisch sind eine rechtskonvexe Thorakalskoliose und eine linkskonvexe Lumbalskoliose, d.h. man hat einen Rippenbuckel rechts und einen Lendenwulst links, wenn man sich vorbeugt.
Patientengeschichten zum Thema Skoliose
Amy und Vicky haben beide Skoliose. Über die Skoliose-Erkrankung lernten sich beide kennen und teilen ihre Geschichte. Hier geht es zum Video ihrer Skoliose-Patientengeschichte.
Amy, 16 Jahre – hat Skoliose seit 4 Jahren und wurde 2018 operiert:
“Klar, einmal Skoliose, immer Skoliose. Aber nach der OP rückt sie wieder in den Hintergrund – sie wird zur Nebensache.”


















